Smile Gallery
We're proud to share examples of some of our best work!
Before
After
Before
After
Before
After
Anterior Composites
Patient had "pegged-lateral" on her left and a retained primary tooth on her right. Once implant and crown replaced the baby tooth, we used composite "white filling" on her right canine to look like a lateral incisor and the left lateral to have more natural contours.
Before
After
Composite Restorations
35 year old female patient had worn down her teeth from grinding. To restore her teeth to a natural contour, we bonded composite resin to her upper anterior teeth and polished for a better esthetic result.
Before
After
Fixed Implant Prosthesis
This patient had a prosthesis that snapped in to his implants for years and with time it started to become loose and rub his gums. We were able to make him a lot more comfortable and confident by making a new prosthesis that screwed in to the implants.
Before
After
Full Mouth Restorations
This patient had a severe grinding issue and she didn't care for the color of her teeth either. She wanted to have the brightest color possible, so we fabricated upper BruxZir crown in a bleach shade and with more natural and functional contours. Her lower teeth had the same done a year later.
Before
After
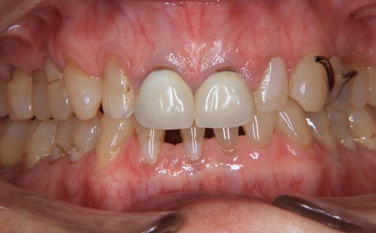
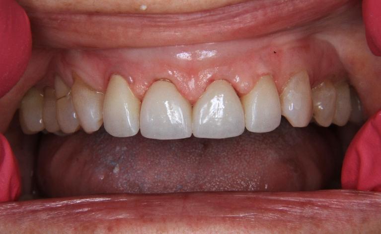
Implant Crowns
85 year old gentleman lost a couple front teeth and he wanted something that he didn't have to take in and out. At the day of implant surgery, we were able to place interm acrylic teeth that screwed in to the implants and 3 months later the final ceramic crowns.
Improve your smile today – call to schedule a consultation!
Claim Now!
Smile Gallery Categories