Skip to main content
Glenhaven Dentistry
Dr. Denver Eslinger
Request an Appointment
Like us on Facebook
Visit us on Yelp
Leave a Google Review
Instagram
(805) 238-1787
1249 Creston Rd. 93446 Paso Robles, CA
1249 Creston Rd. Paso Robles, CA 93446
Menu
Call
Book Now
Map
Home
About
Our Team
Technology
Office Pictures
Services
View All
General Dentistry
Tooth-Colored Fillings
TMJ And Bruxism
Teeth Whitening
Smile Makeovers
Root Canal Therapy
Porcelain Veneers
Periodontal Disease Prevention & Treatment
Pediatric Dentistry
Invisalign
Cleanings & Examinations
Family Dentistry
Extractions
Emergency Dental Care
Digital Dental X-Rays
Dentures & Partials
Dental Implant Crowns
Dental Bonding
Crowns & Bridges
Cosmetic Dentistry
Smile Gallery
Forms
FAQs
View All
Cleanings & Examinations
Cosmetic Dentistry
Crowns & Bridges
Dental Bonding
Dental Implant Crowns
Dentures & Partials
Digital Dental X-Rays
Emergency Dental Care
Extractions
Family Dentistry
General Dentistry
Invisalign
Pediatric Dentistry
Periodontal Disease Prevention & Treatment
Porcelain Veneers
Root Canal Therapy
Smile Makeovers
Teeth Whitening
TMJ And Bruxism
Tooth-Colored Fillings
Blog
Financial
Contact
Glenhaven Dentistry
>
Smile Gallery
>
Composite Restorations
Composite Restorations
Return to Smile Gallery
Previous
Next
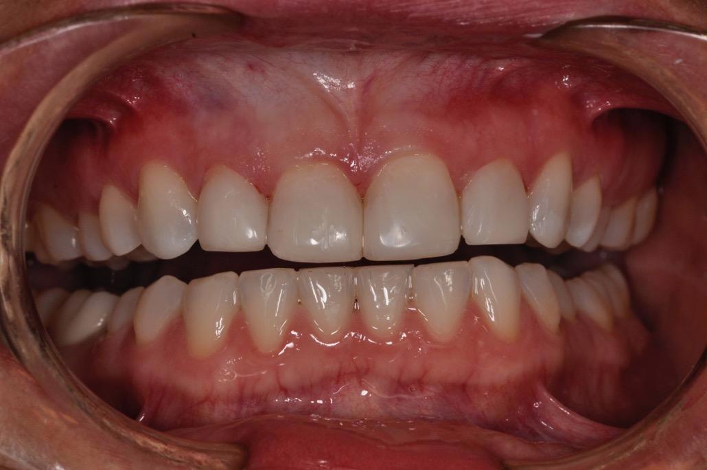
35 year old female patient had worn down her teeth from grinding. To restore her teeth to a natural contour, we bonded composite resin to her upper anterior teeth and polished for a better esthetic result.
Related Services:
Dental Bonding
Cosmetic Dentistry
Smile Makeovers
Before
After
Improve your smile today – call to schedule a consultation!
Claim Now!
OK!
×
×
Contact Us Today
Give Us A Call
Glenhaven Dentistry -
(805) 238-1787
Send Us an Email
Request an Appointment
Contact Us
Ready to Schedule an Appointment?
Book Online
Have Questions? Contact Us:
Required Field
Your Name:
Phone:
Email:
Are you a new patient?:
Are you a?
New Patient
Current Patient
How would you like us to contact you?
Please choose
Email
Call
How did you hear about us?
Please choose
I'm an existing patient
Google/Bing
Mailer
Word of mouth
Social media
Other
Who Referred You?:
Appointment Preferences
Monday
Tuesday
Wednesday
Thursday
Your Message:
This site is protected by reCAPTCHA and the Google
Privacy Policy
and
Terms of Service
apply.
Sending...
×
This Patient's Experience
Loading Testimonial...
Loading Case...